Login to BlackFacts.com using your favorite Social Media Login. Click the appropriate button below and you will be redirected to your Social Media Website for confirmation and then back to Blackfacts.com once successful.
Enter the email address and password you used to join BlackFacts.com. If you cannot remember your login information, click the “Forgot Password” link to reset your password.
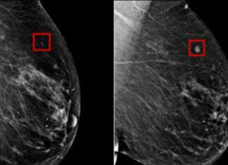
CNN's Poppy Harlow speaks with Dr. Larry Norton, the medical director of the Lauder Breast Center at the Memorial Sloan Kettering Cancer Center, about the use of artificial intelligence in breast cancer detection.
The post Images Show AI Detecting Breast Cancer 4 Years Before It Developed appeared first on The Seattle Medium.
Sorry that there are no other Black Facts here yet!
This Black Fact has passed our initial approval process but has not yet been processed by our AI systems yet.
Once it is, then Black Facts that are related to the one above will appear here.